现实生活中咳嗽对于我们而言并不陌生,有些咳嗽通过药物可治愈或缓解,但有些咳嗽却久治难愈,甚是折磨。如果咳得惊天动地了,那就要小心了,这可能是因为气管里面进了异物!
3个多月前,林大妈开始咳嗽,以为是天气转凉,受了风寒引起,服用了家中常备的止咳糖浆一段时日,不见好转。
于是辗转街边小诊所、社区卫生院,中医西医诊断不一,病因难断。林大妈只能中药西药配合着吃,仍不见好转,每天更是咳得撕心裂肺。
春节将至,林大妈不想带着“疯狂的咳嗽”过年。日前,她就前往宁德师范学院附属宁德市医院查个究竟。
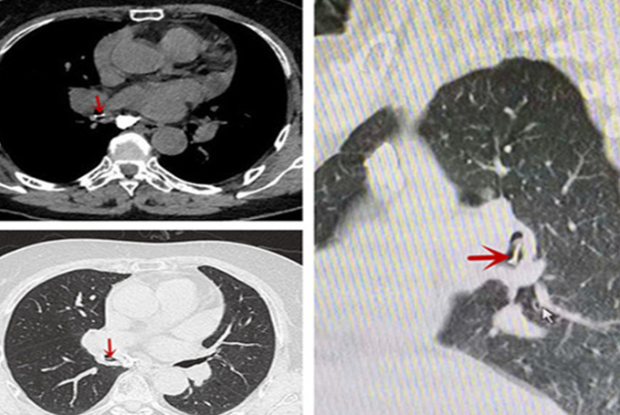
该院呼吸内科主任医师邓新宇接诊后,看了患者的肺部CT片子:“您可能是气管里有异物,建议先做一个气管镜检查”。
“要把一根筷子粗的镜子由鼻子插到肺里去?那我可受不了。”林大妈立马拒绝。
经医生耐心解释,可行无痛气管镜检查,而且无需花费太久时间,林大妈最终同意做无痛支气管镜。

随后,经由呼吸内科李树奇副主任医师在全麻下为林大妈行无痛气管镜手术,全程仅5分钟,取出近5厘米的鸡骨头……
术后,林阿姨经过短期抗感染巩固治疗,明显好转后,目前已出院。
虽在儿童中较为多见,但成人亦常有发生!
“气管支气管异物主要是外源性物体经口或鼻腔误吸入声门,停留于气管支气管内而致病。”邓新宇主任医师说,此病虽在儿童中较为多见,但成人亦常有发生。
特别对老年人而言,他们机体功能生理性衰退,加上存在不同程度的心脑血管疾病,咀嚼功能较差、咳嗽反射较迟钝、吞咽呼吸动作协调度差,易引起误吸。
堵塞气道的异物通常有:食物、脱落的牙齿、假牙、玩物和呕吐物等,食物是最常见的一种。
在实际急救工作中,被汤圆、年糕、饺子、馒头、大块的肉类、长面条、坚果、大块水果、果冻等堵塞气道而窒息的病人非常多。
所以,针对原因不明的慢性咳嗽或肺不张,久治难愈的肺部感染等患者,需警惕气管支气管异物可能,建议尽早就医,以免延误诊治。
那么,是不是只有患吞咽功能障碍的老人才容易发生气道异物梗塞呢?
并非如此。儿童在嬉戏、打闹和哭泣时,发生气道异物梗塞的情况也很多;普通人吃东西时说话、大笑、颠簸、摔倒等,也可能发生气道异物梗塞。
如何预防气道异物梗塞
对于有吞咽功能障碍的老人,在进食时一定要有耐心,切不可着急,而且要尽量喂食流质或半流质饮食。
此外,婴儿发生呛奶的情况也非常多见,应避免使用流量过大的奶瓶喂奶。
普通人平卧位进食也易发生堵塞,因此进食时,应尽量采取半卧位或坐位进食。
总结起来其实很简单:食不言寝不语,细嚼慢咽不着急。
气管支气管异物会有什么表现?
1)异物进入期:呛咳、吸气性呼吸困难。
2)缺氧安静期:异物贴附气管或支气管壁时,症状可缓解或消失。
3)刺激或炎症期:异物刺激或继发炎症引起咳喘、多痰等症状。
4)并发症期:有气胸、皮下气肿、纵隔气肿、肺气肿、肺不张、肺炎、肺脓肿、心衰等并发症时,出现相应症状。
此外,宁德市医院呼吸内科主任薛青提醒:
对于气管支气管异物或其他需要进行气管镜手术的患者,既往很多仅给予局部麻醉,因气管镜对气道的强烈刺激导致患者术中咳嗽不止,难以配合,术后声带受损
等,使患者对该检查存在很不愉快地体验而极为抗拒。
近年来,呼吸内科联合麻醉科全面开展全麻下气管镜手术,进行复杂气道疾病诊治,既可极大提高患者行气管镜耐受性及舒适度,又可减少医师的操作难度,是值
得临床推广的一种安全、有效的检查方法。